red oak family dentistry of mckinney logo
logo-redoak-w500
red oak family dentistry of mckinney logo
red oak family dentistry of mckinney logo

Emergency Dentistry


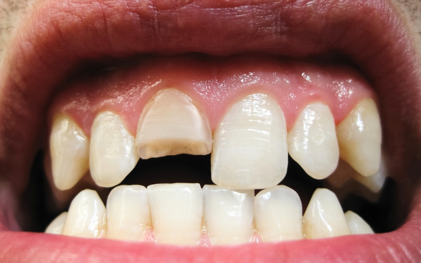
Featured image for “Why Choose Emergency Dentistry For a Broken Tooth?”

Why Choose Emergency Dentistry For a Broken Tooth?

Posted on April 10, 2025 on behalf of Red Oak Family Dentistry
Did you suddenly break your tooth while enjoying your favorite snack? This sharp jolt of pain that you might feel…
Featured image for “Cracked Tooth Causing Pain? Seeking Emergency Dental Treatment”

Cracked Tooth Causing Pain? Seeking Emergency Dental Treatment

Posted on February 12, 2025 on behalf of Red Oak Family Dentistry
Have you cracked your tooth? A tooth fracture is much more than just an inconvenience. Without timely care, this can…
Featured image for “The Importance of Immediate Care in Dental Emergencies”

The Importance of Immediate Care in Dental Emergencies

Posted on November 15, 2024 on behalf of Red Oak Family Dentistry
Dental emergencies can escalate quickly without prompt attention. For instance, a knocked-out tooth may be saved within an hour but…
Featured image for “How to Handle Dental Emergencies in Children?: A Guide for Mckinney People”

How to Handle Dental Emergencies in Children?: A Guide for Mckinney People

Posted on November 8, 2024 on behalf of Red Oak Family Dentistry
What would you do if your child chipped a tooth or was in severe dental pain at midnight? Dental emergencies…
Featured image for “What Is Considered A Dental Emergencies In Children?”

What Is Considered A Dental Emergencies In Children?

Posted on February 15, 2024 on behalf of Red Oak Family Dentistry
As a parent, ensuring your child’s dental health is a top priority. However, accidents can happen, and knowing how to…
Featured image for “5 Common Dental Emergencies And How An Emergency Dentist Can Help”

5 Common Dental Emergencies And How An Emergency Dentist Can Help

Posted on December 12, 2023 on behalf of Red Oak Family Dentistry
Dental crises can occur abruptly amid the delicate fabric of our everyday lives, putting us in a state of anguish…
Featured image for “Some Signs You Need To See An Emergency Dentist Immediately”

Some Signs You Need To See An Emergency Dentist Immediately

Posted on November 3, 2023 on behalf of Red Oak Family Dentistry
Dental emergencies can happen at any time and are excruciating. Knowing how to handle these situations is crucial for quick…
Featured image for “When To Seek The Help Of An Emergency Dentist”

When To Seek The Help Of An Emergency Dentist

Posted on October 19, 2023 on behalf of Red Oak Family Dentistry
Welcome to our emergency dental care blog article! Dental emergencies can occur anytime, putting you in agony and requiring rapid…
Featured image for “What To Do When You Have A Dental Emergency?”

What To Do When You Have A Dental Emergency?

Posted on October 3, 2023 on behalf of Red Oak Family Dentistry
Dental emergencies are no exception; they can occur at any time. Whether it’s a sudden toothache, a knocked-out tooth, or…
Featured image for “When to Call an Emergency Dentist – Signs You Shouldn’t Ignore”

When to Call an Emergency Dentist – Signs You Shouldn’t Ignore

Posted on May 5, 2023 on behalf of Red Oak Family Dentistry
No one wants to undergo a dental emergency, but unfortunately, they can happen when we least expect them. Whether it’s…

Read Our Reviews




People From Everywhere Love Us!

facebook_image
google_image
yelp_image
facebook_image
google_image
yelp_image